Dental Bonding Montreal Enhance Your Teeth in One Visit
- Affordable alternative to crowns and veneers
- Reversible, virtually painless, minimal prep
Transforming Smiles With Bonding in Montreal


Put Yourself First Request a Consultation With Our Dentists
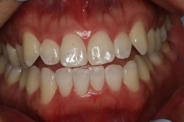
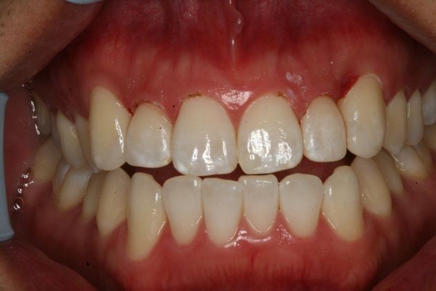
Whether you have stains, cracks, or a misshapen tooth, you may wish to refine your smile. Imperfections in your teeth can reduce your confidence, making it hard to smile or laugh. We want our patients to feel good about their smiles—and dental bonding can empower them to show it off with ease.
Not only is dental bonding a safe procedure, but it also causes little to no discomfort. You have nothing to lose when you decide to visit Dr. Patrick Casey for your dental bonding consultation.
If you're in Montreal and you want to learn more, reach out to our Westmount, QC, office by filling out our contact form or calling:
(514) 937-6558

Is Dental Bonding Painful?
This dentistry treatment is a relatively painless procedure that requires no sedation or anesthesia; however, if you're worried about discomfort, you may benefit from over-the-counter pain relievers.
You may experience mild tooth sensitivity after your procedure, but this is usually temporary and only occurs when consuming hot or cold food and drinks.
What to Expect During Bonding
Little preparation is needed before dental bonding and treatments will often take under an hour.
Bonding is virtually painless and doesn't require the use of anesthesia.
Dental Bonding Maintenance
To keep your bonded teeth healthy and looking great, make sure to brush and floss daily and attend regular dental checkups. It's important to remember bonding may not last as long as veneers, but with proper dental hygiene and careful treatment of the area, the results can last up to 10 years.
In addition to abiding by an at-home oral care routine, be sure to follow all maintenance tips from Dr. Casey to help your cosmetic results last. For example, if you have sleep apnea and you grind your teeth in your sleep, receiving an oral appliance from our dentists can help protect the results of your dental bonding treatment.
Bonding vs. Porcelain Veneers What's the Difference?

Veneers
You may have heard about the wonders of veneers in the world of cosmetic dentistry. Although veneers can provide dazzling results, they cost more than bonding and require a permanent alteration to your teeth. It's important to know that bonding can serve many of the same functions as porcelain. In many cases, they can produce a similarly beautiful end result; however, there are some key differences in the dental materials.

Bonding
Bonding uses a more porous substance than porcelain and is susceptible to discoloration from darkly colored foods, drinks, and tobacco products, the same as your natural teeth. A bonded tooth will need touch-ups over time, but it is also long-lasting and a good way to test out whether porcelain veneers may be right for you in the future. Our expert dentist at Smile Montreal will help guide you in selecting the best service to meet your goals.
